zurück zurück

3D - Röntgen / DVT und 3D - Planung

Diagnostik:

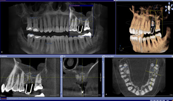
Die 3D-Röntgentechnik oder digitale Volumentomographie liefert 3-dimensionale Ansichten der Kiefer und der Zähne und ist ein großer Gewinn für die zahnärztliche Diagnostik. Bestimmte krankhafte Prozesse werden nur mit diesem Verfahren dargestellt. Häufig werden auch bisher versteckte Befunde entdeckt. Implantatplanungen können mit 3D-Röntgenaufnahmen präziser und vor allem sicherer vorgenommen werden. Exakte Vermessungen sind in diesen Ansichten möglich. Wurzelbehandlung (Endodontie) lassen sich sicher durchführen. Die 3D-Technik ermöglicht ein exaktes Erkennen der Wurzelanatomie, Lokalisieren und Vermessen der Wurzelkanäle. Parodontalbehandlungen (regenerative Parodontologie) lassen sich im Voraus planen. Dadurch kann die Behandlung gezielt und schonend durchgeführt werden. Weitere diagnostische Anwendungsgebiete der digitalen Volumentomographie liegen im Bereich der zahnärztlichen Chirurgie, z.B. für schwierige Weisheitszahnentfernungen, Lagebestimmungen von verlagerten Zähnen und Fremdkörpern.

Qualität:

Mit unserem modernen DVT erstellen wir 3D-Röntgenaufnahmen im Vergleich zu anderen Geräten besonders strahlungsarm. DVT´s sind insbesondere im Vergleich zu Computertomographien “CT´s” vielfach strahlungsärmer.

Fortbildung:

Wir haben uns durch spezielle Weiterbildungen zur Auswertungen von Volumentomographien (DVT) für 3D-Planungen zertifiziert.
zurück zurück
Zahnärztliche Gemeinschaftspraxis     Hannoversche Heerstr. 130  .  29227 Celle   Tel. 05141 81993  info@dent-team.de © dent-team.de 2025 Montag - Donnerstag: 7:30 - 18:30 Uhr  Freitag: 7:30 - 14:00 Uhr

3D - Röntgen / DVT und 3D - Planung

Diagnostik:

Die 3D-Röntgentechnik oder digitale Volumentomographie liefert 3- dimensionale Ansichten der Kiefer und der Zähne und ist ein großer Gewinn für die zahnärztliche Diagnostik. Bestimmte krankhafte Prozesse werden nur mit diesem Verfahren dargestellt. Häufig werden auch bisher versteckte Befunde entdeckt. Implantatplanungen können mit 3D-Röntgenaufnahmen präziser und vor allem sicherer vorgenommen werden. Exakte Vermessungen sind in diesen Ansichten möglich. Wurzelbehandlung (Endodontie) lassen sich sicher durchführen. Die 3D- Technik ermöglicht ein exaktes Erkennen der Wurzelanatomie, Lokalisieren und Vermessen der Wurzelkanäle. Parodontalbehandlungen (regenerative Parodontologie) lassen sich im Voraus planen. Dadurch kann die Behandlung gezielt und schonend durchgeführt werden. Weitere diagnostische Anwendungsgebiete der digitalen Volumentomographie liegen im Bereich der zahnärztlichen Chirurgie, z.B. für schwierige Weisheitszahnentfernungen, Lagebestimmungen von verlagerten Zähnen und Fremdkörpern.

Qualität:

Mit unserem modernen DVT erstellen wir 3D-Röntgenaufnahmen im Vergleich zu anderen Geräten besonders strahlungsarm. DVT´s sind insbesondere im Vergleich zu Computertomographien “CT´s” vielfach strahlungsärmer.

Fortbildung:

Wir haben uns durch spezielle Weiterbildungen zur Auswertungen von Volumentomographien (DVT) für 3D-Planungen zertifiziert.