zurück zurück

Digitale Abformung mit unserem Intraoralscanner

Yes we scan!

Komfortabel, Angenehm, ohne Würgereiz in perfekter Präzision

Darum bieten wir digitalen Zahnersatz mit unserem Scanner an: Perfekt passgenauer Zahnersatz, Kronen, Brücken, Zahnschienen, Aligner in erhöhter Qualität digitale Abformungen sind im unserem Itero-Scanner eindeutig präziser als konventionelle Abdrücke und Gipsmodelle Scannen ist angenehm und deutlich komfortabler Scannen erfolgt ohne Würgereiz und schlechten Geschmack der Abformmasse Freies Atmen und Pausen sind jederzeit möglich Keine Probleme bei der Entnahme von Abformungen durch Verkeilung der Abformmasse
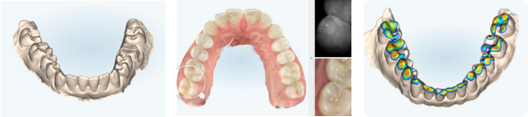
Digitale Scan-technologie: 3D-Ansicht Ihrer Zähne (Sie sehen, was wir sehen) Erstellung digitaler 3D-Modelle Kariesdiagnostik durch Nahinfrarot ohne Strahlung Visualisierung von Veränderungen: z.B. Zahnstellung, Zahnabnutzung, Zahnfleischveränderungen Funktionsdiagnostik und die CMD-Therapie: wird auf eine neue Basis gestellt
zurück zurück
Zahnärztliche Gemeinschaftspraxis     Hannoversche Heerstr. 130  .  29227 Celle   Tel. 05141 81993  info@dent-team.de © dent-team.de 2025 Montag - Donnerstag: 7:30 - 18:30 Uhr  Freitag: 7:30 - 14:00 Uhr

Digitale Abformung mit unserem

Intraoralscanner

Yes we scan!

Komfortabel, Angenehm, ohne Würgereiz in perfekter Präzision

Darum bieten wir digitalen Zahnersatz mit unserem Scanner an: Perfekt passgenauer Zahnersatz, Kronen, Brücken, Zahnschienen, Aligner in erhöhter Qualität digitale Abformungen sind im unserem Itero-Scanner eindeutig präziser als konventionelle Abdrücke und Gipsmodelle Scannen ist angenehm und deutlich komfortabler Scannen erfolgt ohne Würgereiz und schlechten Geschmack der Abformmasse Freies Atmen und Pausen sind jederzeit möglich Keine Probleme bei der Entnahme von Abformungen durch Verkeilung der Abformmasse
Digitale Scan-technologie: 3D-Ansicht ihrer Zähne (Sehen heißt verstehen) Erstellung digitaler 3D-Modelle Kariesdiagnostik ohne Strahlung (mit Nahinfrarot) Visualisierung von zeitlichen Veränderungen: z.B. Zahnstellung, Zahnabnutzung, Zahnfleischveränderung neue Möglichkeiten für die Funktionsdiagnostik und die CMD-Therapie